
Study shows mucus contains molecules that block Salmonella infection
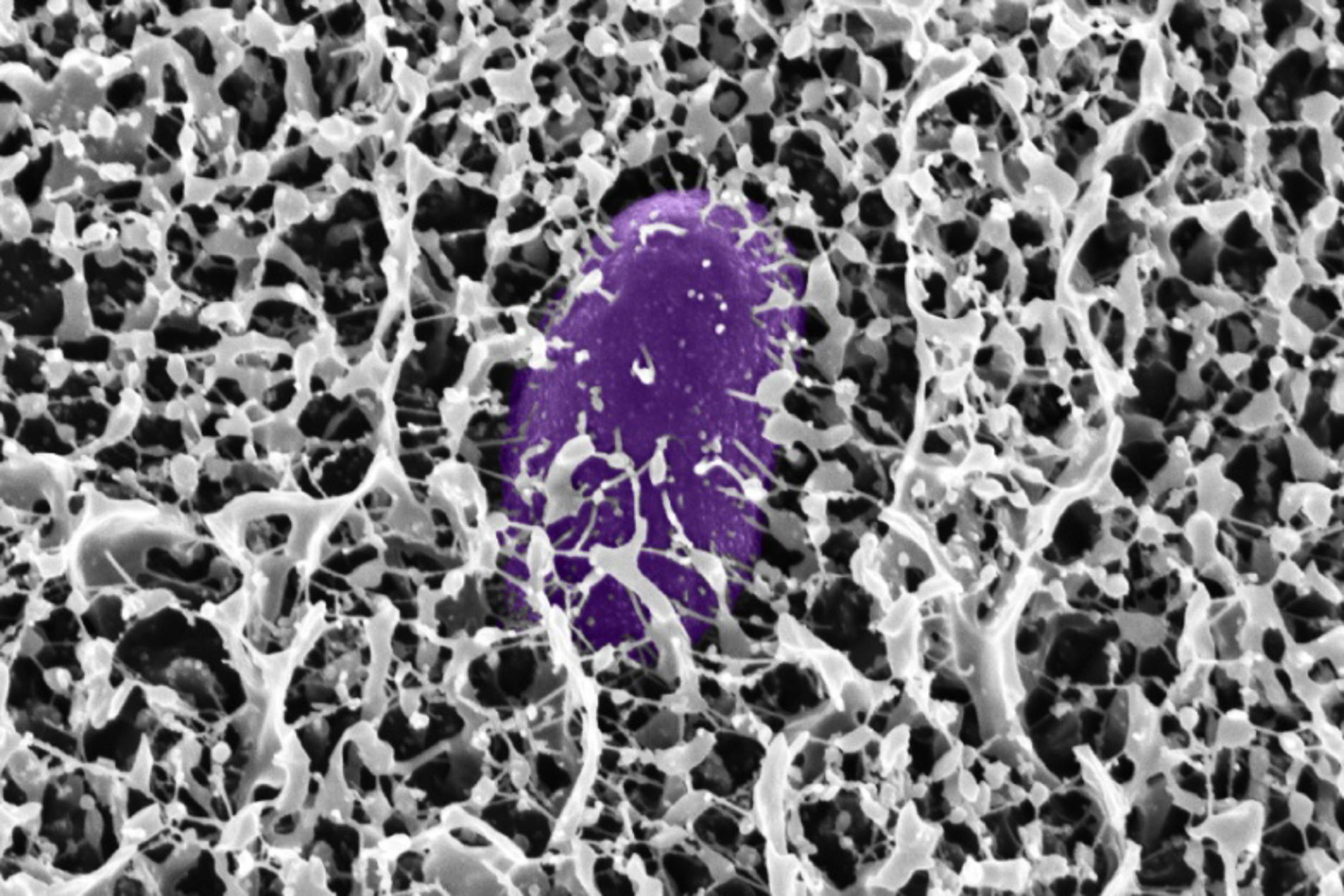
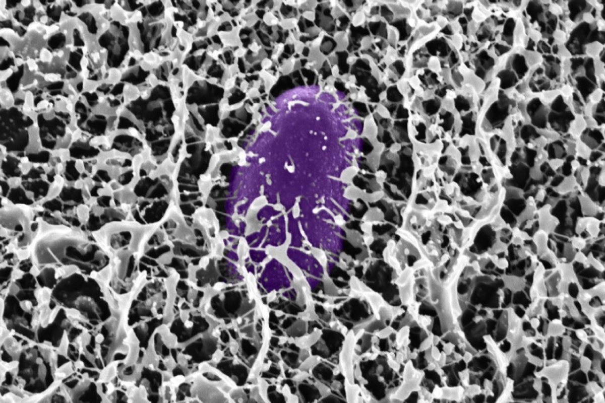
Mucus is more than just a sticky substance: It contains a wealth of powerful molecules called mucins that help to tame microbes and prevent infection. In a new study, MIT researchers have identified mucins that defend against Salmonella and other bacteria that cause diarrhea.
The researchers now hope to mimic this defense system to create synthetic mucins that could help prevent or treat illness in soldiers or other people at risk of exposure to Salmonella. It could also help prevent “traveler’s diarrhea,” a gastrointestinal infection caused by consuming contaminated food or water.
Mucins are bottlebrush-shaped polymers made of complex sugar molecules known as glycans, which are tethered to a peptide backbone. In this study, the researchers discovered that a mucin called MUC2 turns off genes that Salmonella uses to enter and infect host cells.
“By using and reformatting this motif from the natural innate immune system, we hope to develop strategies to preventing diarrhea before it even starts. This approach could provide a low-cost solution to a major global health challenge that costs billions annually in lost productivity, health care expenses, and human suffering,” says Katharina Ribbeck, the Andrew and Erna Viterbi Professor of Biological Engineering at MIT and the senior author of the study.
MIT Research Scientist Kelsey Wheeler PhD ’21 and Michaela Gold PhD ’22 are the lead authors of the paper, which appeared Tuesday in the journal Cell Reports.
Blocking infection
Mucus lines much of the body, providing a physical barrier to infection, but that’s not all it does. Over the past decade, Ribbeck has identified mucins that can help to disarm Vibrio cholerae, as well as Pseudomonas aeruginosa, which can infect the lungs and other organs, and the yeast Candida albicans.
In the new study, the researchers wanted to explore how mucins from the digestive tract might interact with Salmonella enterica, a foodborne pathogen that can cause illness after consuming raw or undercooked food, or contaminated water.
To infect host cells, Salmonella must produce proteins that are part of the type 3 secretion system (T3SS), which helps bacteria form needle-like complexes that transfer bacterial proteins directly into host cells. These proteins are all encoded on a segment of DNA called Salmonella pathogenicity island 1 (SPI-1).
The researchers found that when they exposed Salmonella to a mucin called MUC2, which is found in the intestines, the bacteria stopped producing the proteins encoded by SPI-1, and they were no longer able to infect cells.
Further studies revealed that MUC2 achieves this by turning off a regulatory bacterial protein known as HilD. When this protein is blocked by mucins, it can no longer activate the T3SS genes.
Using computational simulations, the researchers showed that certain monosaccharides found in glycans, including GlcNAc and GalNAc, can attach to a specific binding site of the HilD protein. However, their studies showed that these monosaccharides can’t turn off HilD on their own — the shutoff only occurs when the glycans are tethered to the peptide backbone of the mucin.
The researchers also discovered that a similar mucin called MUC5AC, which is found in the stomach, can block HilD. And, both MUC2 and MUC5AC can turn off virulence genes in other foodborne pathogens that also use HilD as a gene regulator.
Mucins as medicine
Ribbeck and her students now plan to explore ways to use synthetic versions of these mucins to help boost the body’s natural defenses and protect the GI tract from Salmonella and other infections.
Studies from other labs have shown that in mice, Salmonella tends to infect portions of the GI tract that have a thin mucus barrier, or no barrier at all.
“Part of Salmonella’s evasion strategy for this host defense is to find locations where mucus is absent and then infect there. So, one could imagine a strategy where we try to bolster mucus barriers to protect those areas with limited mucin,” Wheeler says.
One way to deploy synthetic mucins could be to add them to oral rehydration salts — mixtures of electrolytes that are dissolved in water and used to treat dehydration caused by diarrhea and other gastrointestinal illnesses.
Another potential application for synthetic mucins would be to incorporate them into a chewable tablet that could be consumed before traveling to areas where Salmonella and other diarrheal illnesses are common. This kind of “pre-exposure prophylaxis” could help prevent a great deal of suffering and lost productivity due to illness, the researchers say.
“Mucin mimics would particularly shine as preventatives, because that’s how the body evolved mucus — as part of this innate immune system to prevent infection,” Wheeler says.
The research was funded by the U.S. Army Research Office, the U.S. Army Institute for Collaborative Biotechnologies, the U.S. National Science Foundation, the U.S. National Institute of Health and Environmental Sciences, the U.S. National Institutes of Health, and the German Research Foundation.
