
A blueprint for better cancer immunotherapies
Immune checkpoint blockade (ICB) therapies can be very effective against some cancers by helping the immune system recognize cancer cells that are masquerading as healthy cells.
T cells are built to recognize specific pathogens or cancer cells, which they identify from the short fragments of proteins presented on their surface. These fragments are often referred to as antigens. Healthy cells will will not have the same short fragments or antigens on their surface, and thus will be spared from attack.
Even with cancer-associated antigens studding their surfaces, tumor cells can still escape attack by presenting a checkpoint protein, which is built to turn off the T cell. Immune checkpoint blockade therapies bind to these “off-switch” proteins and allow the T cell to attack.
Researchers have established that how cancer-associated antigens are distributed throughout a tumor determines how it will respond to checkpoint therapies. Tumors with the same antigen signal across most of its cells respond well, but heterogeneous tumors with subpopulations of cells that each have different antigens, do not. The overwhelming majority of tumors fall into the latter category and are characterized by heterogenous antigen expression. Because the mechanisms behind antigen distribution and tumor response are poorly understood, efforts to improve ICB therapy response in heterogenous tumors have been hindered.
In a new study, MIT researchers analyzed antigen expression patterns and associated T cell responses to better understand why patients with heterogenous tumors respond poorly to ICB therapies. In addition to identifying specific antigen architectures that determine how immune systems respond to tumors, the team developed an RNA-based vaccine that, when combined with ICB therapies, was effective at controlling tumors in mouse models of lung cancer.
Stefani Spranger, associate professor of biology and member of MIT’s Koch Institute for Integrative Cancer Research, is the senior author of the study, appearing recently in the Journal for Immunotherapy of Cancer. Other contributors include Koch Institute colleague Forest White, the Ned C. (1949) and Janet Bemis Rice Professor and professor of biological engineering at MIT, and Darrell Irvine, professor of immunology and microbiology at Scripps Research Institute and a former member of the Koch Institute.
While RNA vaccines are being evaluated in clinical trials, current practice of antigen selection is based on the predicted stability of antigens on the surface of tumor cells.
“It’s not so black-and-white,” says Spranger. “Even antigens that don’t make the numerical cut-off could be really valuable targets. Instead of just focusing on the numbers, we need to look inside the complex interplays between antigen hierarchies to uncover new and important therapeutic strategies.”
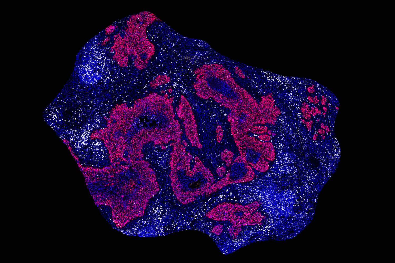
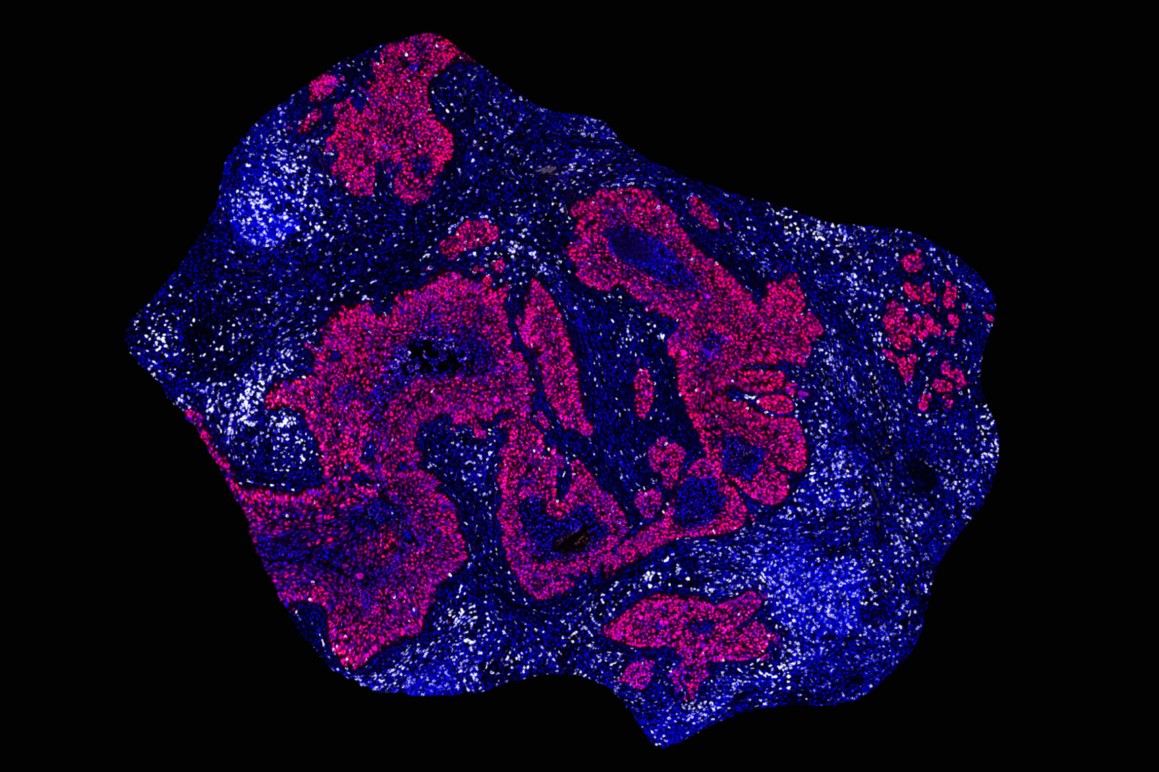
Spranger and her team created mouse models of lung cancer with a number of different and well-defined expression patterns of cancer-associated antigens in order to analyze how each antigen impacts T cell response. They created both “clonal” tumors, with the same antigen expression pattern across cells, and “subclonal” tumors that represent a heterogenous mix of tumor cell subpopulations expressing different antigens. In each type of tumor, they tested different combinations of antigens with strong or weak binding affinity to MHC.
The researchers found that the keys to immune response were how widespread an antigen is expressed across a tumor, what other antigens are expressed at the same time, and the relative binding strength and other characteristics of antigens expressed by multiple cell populations in the tumor
As expected, mouse models with clonal tumors were able to mount an immune response sufficient to control tumor growth when treated with ICB therapy, no matter which combinations of weak or strong antigens were present. However, the team discovered that the relative strength of antigens present resulted in dynamics of competition and synergy between T cell populations, mediated by immune recognition specialists called cross-presenting dendritic cells in tumor-draining lymph nodes. In pairings of two weak or two strong antigens, one resulting T cell population would be reduced through competition. In pairings of weak and strong antigens, overall T cell response was enhanced.
In subclonal tumors, with different cell populations emitting different antigen signals, competition rather than synergy was the rule, regardless of antigen combination. Tumors with a subclonal cell population expressing a strong antigen would be well-controlled under ICB treatment at first, but eventually parts of the tumor lacking the strong antigen began to grow and developed the ability evade immune attack and resist ICB therapy.
Incorporating these insights, the researchers then designed an RNA-based vaccine to be delivered in combination with ICB treatment with the goal of strengthening immune responses suppressed by antigen-driven dynamics. Strikingly, they found that no matter the binding affinity or other characteristics of the antigen targeted, the vaccine-ICB therapy combination was able to control tumors in mouse models. The widespread availability of an antigen across tumor cells determined the vaccine’s success, even if that antigen was associated with weak immune response.
Analysis of clinical data across tumor types showed that the vaccine-ICB therapy combination may be an effective strategy for treating patients with tumors with high heterogeneity. Patterns of antigen architectures in patient tumors correlated with T cell synergy or competition in mice models and determined responsiveness to ICB in cancer patients. In future work with the Irvine laboratory at the Scripps Research Institute, the Spranger laboratory will further optimize the vaccine with the aim of testing the therapy strategy in the clinic.
